стройгид
  • Разделы
    • Полы и напольные покрытия
    • Идеи для кухни
    • Баня и сауна
    • Для дачи и частного дома
    • Ландшафтный дизайн
    • Советы и решения

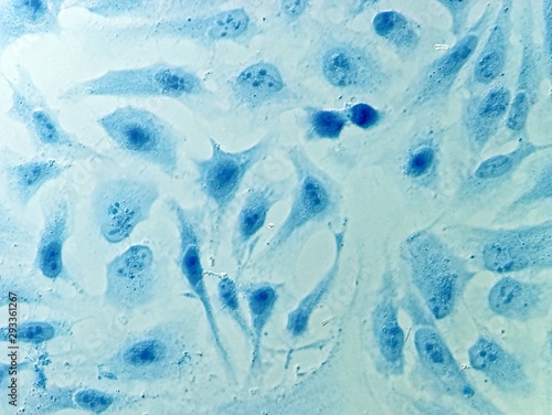
Культура клеток HeLa: наука и фотографии под микроскопом


Раздел: Лаборатория идей
Популярные разделы:
Полы и напольные покрытия
Идеи для кухни
Баня и сауна
Для дачи и частного дома
Ландшафтный дизайн
Советы и решения
Смотрите еще:
Курица и цыплята: трогательные моменты в фото
Микромир: строение клетки гриба мукора под микроскопом
Фотографии и информация о росте Алексея Красноцветова
Учебные материалы для 2 класса по Н. Некрасову
Французская революция: Исторические факты и иллюстрации
Исторические фотографии Петра Гринёва 1958 года
Синонимы к фразе верный ответ: подборка и примеры
Фотографии Виолетты Малышенко в шляпе
Copyright © 2010 - 2025 | Отказ от ответственности