стройгид
  • Разделы
    • Полы и напольные покрытия
    • Идеи для кухни
    • Баня и сауна
    • Для дачи и частного дома
    • Ландшафтный дизайн
    • Советы и решения

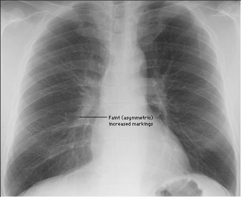
Рентгеновские снимки и анализы при правосторонней пневмонии


Раздел: Компас решений
Популярные разделы:
Полы и напольные покрытия
Идеи для кухни
Баня и сауна
Для дачи и частного дома
Ландшафтный дизайн
Советы и решения
Смотрите еще:
Полезные задания по теме «Существительное»: Учебные материалы и примеры
Рисование в подготовительной группе: Методики и Примеры
Визуальные примеры конкурентных преимуществ
FIFA Street на PlayStation: лучшие моменты игры
Соленая горбуша с лимоном: кулинарные шедевры
Карты звездного неба: изучение созвездий и фото ночного неба
Методы и советы по понижению голоса: фото и инфографика
Гришаева и её семья: фотографии и моменты из жизни
Copyright © 2010 - 2025 | Отказ от ответственности