стройгид
  • Разделы
    • Полы и напольные покрытия
    • Идеи для кухни
    • Баня и сауна
    • Для дачи и частного дома
    • Ландшафтный дизайн
    • Советы и решения

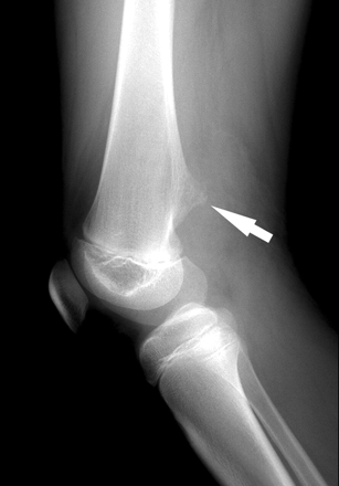
Остеофиты Берцовой Кости: Симптомы и Лечение


Раздел: Компас решений
Популярные разделы:
Полы и напольные покрытия
Идеи для кухни
Баня и сауна
Для дачи и частного дома
Ландшафтный дизайн
Советы и решения
Смотрите еще:
Логические и математические задания для детей 5 лет
Список полезных номеров Ростелеком для быстрого доступа
Завораживающие пейзажи Ямальской тундры осенью
Как красиво подвернуть джинсы: советы по модным манипуляциям
Определяем органоиды: Что скрывается под цифрой 2?
Образы Джулии Ванг с синими волосами: стиль и вдохновение
Простые способы визуального определения расстояния до объекта
Обзор Соболь Некст 4х4 Пикап: Характеристики и Возможности
Copyright © 2010 - 2025 | Отказ от ответственности