стройгид
  • Разделы
    • Полы и напольные покрытия
    • Идеи для кухни
    • Баня и сауна
    • Для дачи и частного дома
    • Ландшафтный дизайн
    • Советы и решения

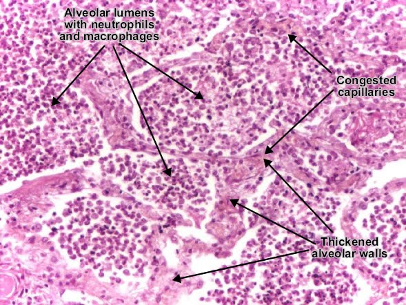
Патологическая анатомия фиброзирующего альвеолита: Фотообзор


Раздел: Компас решений
Популярные разделы:
Полы и напольные покрытия
Идеи для кухни
Баня и сауна
Для дачи и частного дома
Ландшафтный дизайн
Советы и решения
Смотрите еще:
Лучшие экскурсии по Индии
Кулинарное искусство: аппетитные фотографии трески в маринаде
Группа Браво: Фотогалерея легендарной группы
Список иконок всех ветеранов игры Standoff 2
Вкусные блюда из курицы с брокколи: подборка рецептов с фото
Как выбрать стеганый плед на кровать: советы и рекомендации
Рецепты маффинов с беконом: Вкусные и оригинальные идеи
Элегантные репродукции картин в овальных рамах
Copyright © 2010 - 2025 | Отказ от ответственности